【神经影像】脑死亡的影像表现


- 大面积脑梗死/水肿
病理机制
严重细胞肿胀 → 颅内压(ICP)显著升高
临床核心问题
评估过程复杂,非专科人员及家属常存在认知误区
○ 经 经验丰富的医师 按 标准流程 判定的 DNC 具有高度可靠性影像学可提供支持证据,但 不能替代临床诊断标准 必须排除所有 可逆性昏迷病因 - 关键法律声明
:脑死亡本质是临床诊断,法律判定标准存在地域差异



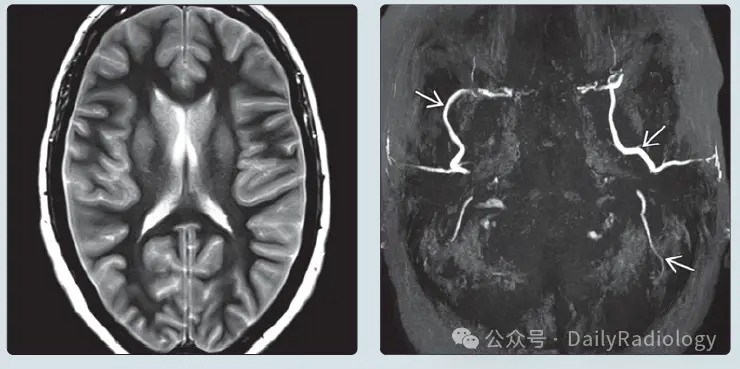
(左图) 50岁女性脑死亡患者濒死前轴位T2加权成像 (T2WI):脑室狭小,脑回肿胀,脑沟近完全消失。
(右图) 同例患者颏下顶位MRA最大密度投影 (MIP):仅见 颈外动脉分支 血流信号,颅内血管无显影。
感谢您抽出
·
阅读此文;请在文章末尾“分享”“在看”❤️“和点赞!
END